点击右上角
微信好友
朋友圈

请使用浏览器分享功能进行分享

冬至吃饺子,是中国人的传统习俗,但对70岁的张大爷来说,最近的一次饺子宴却差点成了“最后的晚餐”。令人意想不到的是,这场意外竟源于饺子中藏着的一枚硬币——这是家人按照传统习俗放入的“幸运饺”,却险些酿成悲剧。
惊险一刻:硬币随饺滑入气管
那天正值家庭聚会,张大爷咬下包含硬币的“幸运饺”后,出现不明原因的气短、咳嗽伴咯血,当时去外院经验性抗感染治疗效果不佳,遂就诊于清华大学北京清华长庚医院呼吸与危重症医学科门诊,行胸部CT可见左主支气管内异物。

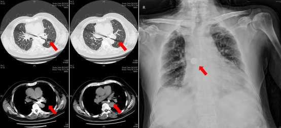
入院胸部CT示左主支气管内硬币大小异物一枚(红色箭头所示)入院第2天复查床旁胸片提示硬币样异物自行转移至右主支气管内(红色箭头所示)。
呼吸与危重症医学科牟向东主任带领的医疗团队立即收患者入院并安排电子支气管镜检查,经口行支气管镜,镜下可见右主支气管内一硬币大小异物嵌顿管口,镜下使用专门的异物钳,快速而稳定地取出异物,时间不到1分钟,张大爷气短、咳嗽症状迅速缓解。
气管异物:生命通道上的致命路障
气管异物是指外来物体意外进入气管或支气管,导致呼吸道全部或部分阻塞。这种情况常见于婴幼儿和老年人,是呼吸与危重症医学科最常见的急症之一。
(一) 常见危险物品包括:
1. 食品类:坚果、果冻、豆类、骨头、肉块
2. 小物件:硬币、纽扣电池、小玩具零件、笔帽
3. 医疗相关:牙齿、假牙
(二)高危人群:老人与儿童需特别警惕
1、老年人危险因素
1) 吞咽反射减弱:随着年龄增长,喉部感觉和协调功能下降
2) 牙齿问题:牙齿缺失或假牙不适影响充分咀嚼
3) 基础疾病:如帕金森病、中风后遗症等神经系统疾病
4) 注意力不集中:进食时说话或分心容易导致误吸
2、儿童危险因素
1) 好奇心强,喜欢将小物品放入口中
2) 咀嚼功能不完善,喉保护机制不健全
3) 进食时容易哭闹、嬉笑
(三)识别危机:气管异物的典型表现
当老人或者孩子进食后或者不明原因出现突然发生的剧烈呛咳、持续性咳嗽、呼吸困难、面色青紫、无法说话等表现时,需要高度警惕气管异物的可能性,需要立即前往医疗机构完善胸部影像学检查(如胸片、胸部CT),及时发现问题并迅速解决。
救命知识:遇到气管异物怎么办?
一旦发生气管异物,立即就医是关键!
电子支气管镜下取气管异物是最常用的医疗急救手段。电子支气管镜是一种带光源和镜头的软镜,通过口鼻进入下呼吸道,可以对呼吸道病变进行检查和治疗,也可通过钳夹、冻粘等方法将异物取出。在电子支气管镜下操作可视性强,成功率高。病情严重者,甚至需要气管切开或者胸外科手术治疗。
如果我们发现某人出现食物吸入气道,在呼叫120的等待过程中可及时采取海姆立克法。海姆立克法是全世界抢救气道异物完全梗阻的标准急救法,可在关键时刻救人性命。具体来说,用双臂环抱住被救者腰部,一手握拳,拳眼放在患者肚脐上方,胸骨正下方位置。另一只手抓住握拳的手,向身体内部、上部持续快速冲击腹部,直至异物被排出并且能够发音、呼吸,或者直至失去反应。
需要注意的是:对于老年人, 海姆立克急救法的力度要适当控制,避免造成肋骨骨折。如果患者已意识不清,应立即进行心肺复苏并呼叫急救电话。同时,切记不要用手指盲目掏取,不要一味拍背,不要继续喂水喂食!
预防永远胜于治疗,安全意识才是最好的“救命符”
日常生活中我们要养成良好的生活习惯,可尽量降低气管异物的风险。
1.进食时保持坐姿端正,集中注意力,避免说话和大笑
2.将食物切成小块,细嚼慢咽
3.假牙佩戴者应确保假牙合适,定期检查
4.儿童进食时应有人看管,避免边吃边玩
5.将小物品放在儿童拿不到的地方
经此一劫,张大爷康复后不禁感慨道:“这辈子再也不敢吃带硬币的饺子了,真是捡回一条老命!”传统习俗虽有趣,但安全才是第一位的。气管异物是危及生命的急症,几分钟的延误就可能导致严重后果甚至窒息死亡。当出现长时间不明原因的咳嗽、反复肺炎或不明原因肺部阴影的情况,需考虑到气管异物的可能,及时就医并根据具体情况完善电子支气管镜检查。
作者:
清华大学北京清华长庚医院 呼吸与危重症医学科
主治医师郭文佳 护士赵丽娜 主任医师牟向东
